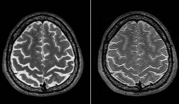
Cosa accade al cervello degli astronauti nello spazio? Questa domanda è oggetto di continue ricerche da parte degli scienziati. Un nuovo studio, condotto da un team di ricercatori guidato da Donna Roberts, neuro-radiologa alla Medical University of South Carolina, ha indagato ulteriormente sui cambiamenti che potrebbe subire la struttura cerebrale degli astronauti durante la permanenza nello spazio – ne abbiamo parlato qui per la prima volta. Come sappiamo, l’esposizione prolungata ad un ambiente di microgravità ha effetti permanenti sugli esseri umani, che ancora non riusciamo ancora a comprendere a pieno. Il team ha esaminato i dati delle risonanze magnetiche di 19 astronauti Nasa, osservando cambiamenti strutturali diffusi nel cervello, specialmente dopo missioni di lunga durata. Questi cambiamenti sembrano essere correlati alle variazioni nelle capacità motorie degli astronauti e nelle loro prestazioni cognitive durante i test post-volo.
«Non si sa molto sul ‘deterioramento’ cognitivo nell’uomo durante il volo spaziale. Sebbene questo studio valuti un piccolo sottogruppo di astronauti, è significativamente più grande di qualsiasi altro studio del suo genere che coinvolga astronauti o cosmonauti russi», ha commentato la Roberts. Il team ha confrontato i risultati dei test cognitivi eseguiti prima e dopo le missioni. Lo strumento di screening utilizzato è lo Spaceflight Cognitive Assessment Tool (WinSCAT), sviluppato dalla Nasa per monitorare gli astronauti e il loro stato neuro-cognitivo mentre si trovano nello spazio, per evidenziare inoltre eventuali cambiamenti nella precisione, attenzione o nel tempo di reazione degli stessi.
I risultati mostrano che gli effetti a lungo termine di questi cambiamenti cerebrali sono ancora sconosciuti, a causa di mancanza di immagini più dettagliate. Ad oggi gli scienziati possono solo affermare quali sono le conseguenze nel breve periodo. Gli studi sul tema continueranno a ritmo serrato, per aiutare a identificare i problemi chiave nella pianificazione dell’esplorazione spaziale di più lunga durata, incluse le missioni su Marte.




